Aller au contenu.
|
Aller à la navigation
Outils personnels
Se connecter
English
Français
Intranet
Institut de
génomique fonctionnelle
de Lyon
Chercher par
Seulement dans le dossier courant
Recherche avancée…
Liens utiles
SFR Biosciences
Raccourcis IGFL
Services Ulys
LBMC
RDP
Navigation
Accueil
Bibliography Search
IGFL
Environnement scientifique
Soutien à la recherche
Organigramme
Annuaire
Anciens membres
L'historique de l'IGFL
Le bâtiment IGFL
Contacts et accès
Mentions légales
Équipes
Biologie comparative du développement et de la régénération - M. AVEROF
Logique spatio-temporelle de la neurogenèse adulte - Z. CHAKER
Morphogenèse des algues brunes - B. CHARRIER
Développement et fonction du système neuromusculaire - J. ENRIQUEZ
Histoires développementale et évolutive des vertébrés - É. HEUDE
Génomique fonctionnelle de la signalisation thyroïdienne - F. FLAMANT
Épigénomique développementale - Y. GHAVI-HELM
Biomodélisation - N. GOUDEMAND
Génomique du développement et évolution - A. KHILA
Physiologie integrative des interactions hôte-microbes - F. LEULIER
Ontogénèse et interactions moléculaires - S. MERABET
Contrôle moléculaire et épigénétique des rythmes biologiques - K. PADMANABHAN
Biologie et pathologie des matrices extracellulaires - F. RUGGIERO
Publications
2024
2023
2022
2021
2020
2019
2018
2017
2016
2015
2014
2013
2012
2011
2010
2009
2008
2007
Compétences
Plateformes et équipements
Modèles animaux
Expérimentation du vivant
Brevets
Expertises (par équipe)
Cellule de transfert IGFL
Dissémination
Stages d'observation
Nos chercheurs enseignants
La vie du labo
Evènements
Séminaires
Webinaires
Offres
Quoi de neuf ?
Vous êtes ici :
Accueil
/
Archive - page d'accueil
/
Equipes IGFL
/
J. SAMARUT - Génomique fonctionnelle des récepteurs nucléaires
/
Images de l'équipe
/
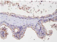
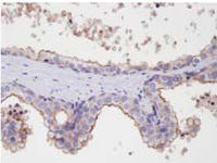
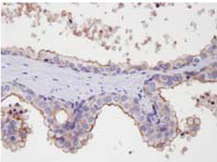
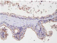
TM4SF
Info
TM4SF
Image dans sa taille originale :
34 ko
|
Voir
Télécharger